SOFTNEWS
¡WTF! Le Hallan Un Gusano En La Cabeza Al Ir A Revisión Por Dolor
STAFF / @michangoonga

Una revisión en el médico por dolores de cabeza se convirtió en un dramático suceso tras el hallazgo de un gusano en el cerebro a un hombre.
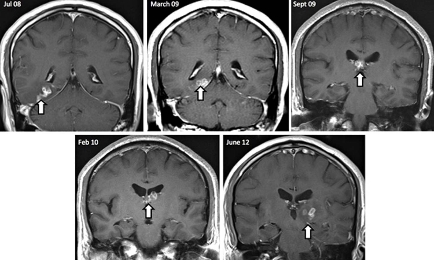
Según informó el diario británico The Guardian, un hombre de 50 años acudió al médico tras padecer fuertes dolores de cabeza y hasta olores extraños y al realizarle estudios, estos encontraron un extraño gusano acintado que se movía de un hemisferio del cerebro a otro.
Los especialistas pudieron notarlo tras realizarle varias tomografías, por lo que creen que el parásito pudo haber durado durante cuatro años y se internó en su cuerpo durante uno de sus viajes a China cuando fue a visitar a su familia.
Tras el hallazgo el hombre recibió tratamiento médico para controlar la situación.
